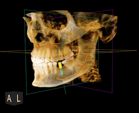
Lighning-fast Web-based DICOM Viewer
Lightweight and Hassle-free medical image viewer right in your favorite browser!

100% Cloud-Based Solution
Our browser-based DICOM viewer prioritizes security, speed, and convenience. View all your CT/CBCT datasets securely in your browser without having to download any extra software.
Features
Custom Solutions
Fast and Seamless Image Rendering
Managed Deployment
Client-side Processing for Enhanced Security
Healthcare Collaboration
Browser-Based Accessibility for Flexibility